Casos Clínicos
Sistema Nervoso |
|
Caso 1 A. B., homem de 34 anos de idade, fisioterapeuta, percebeu uma leve sensação de formigamento no seu pé direito ao levantar-se da mesa certa noite. Ele não deu atenção pen-sando ter sentado-se de mal jeito. Contudo, no dia seguinte, ao levantar-se, notou que seus pés pareciam inchados, de modo a não sentir o chão com a planta dos pés. Entretanto, ao olhar seus pés, eles não pareciam, de fato, inchados. Procurou assistência médica e nada de anormal foi encontrado. No dia seguinte, contudo, foram encontradas anormalidades ao exame neuro-lógico: diminuição da sensibilidade tátil discriminativa, vibração e posição segmentar com discreto predomínio direito. Nos 3 dias seguintes, as alterações subiram até o abdômen, quase ao nível do umbigo. Subseqüentemente, os sintomas e sinais se estabilizaram e regrediram. Na época, o diagnóstico foi de mielopatia transversa. Posteriormente, houve reincidência de sintomas (novos surtos), e a ressonância magnética da medula revelou lesões desmielinizantes nas colunas dorsais da medula torácica (T10), o que confirmou o diagnóstico definitivo de esclerose múltipla. Caso 2 Um homem de 45 anos de idade procurou consulta médica por queixa de fraqueza muscular. Na infância e adolescência, ele fora atleta, porém, nos últimos 10 anos, ele vinha observando fraqueza e atrofia progressivas de ambos os braços e pernas. Ao longo desse tem-po, ele também notou que quando fechava sua mão com força não conseguia abri-la rapida-mente. E isso piorava com o frio. Há alguns anos, tinha-lhe sido diagnosticado também cata-ratas. Ele possuía 4 filhos, todos sadios, porém, as informações sobre a história de anteceden-tes familiares não era completa. Ao exame físico, observou-se que ele era calvo e mostrava atrofia dos músculos temporais e masseteres. Havia atrofia muscular distal de todas as extre-midades e fraqueza dos músculos faciais e das extremidades. Os reflexos tendinoso eram di-minuídos. A percussão da eminência tenar produzia oposição do polegar, com relaxamento muito lento. Havia catarata bilateral e os testículos eram atrofiados. A eletromiografia mos-trava descargas miotônicas em todos os músculos testados. A creatinofosfoquinase e a desi-drogenase láctica estavam bastante elevadas. O EEG mostrava um bloqueio de ramo esquerdo. A biópsia do músculo deltóide revelava uma considerável variação do tamanho das fibras, com grande quantidade de núcleos sarcolêmicos em posição central. Confirmou-se então o diagnóstico de distrofia miotônica (doença de Steinert), sendo feito tratamento sintomático da mesma com fenitoína. Caso 3 A Sra. C. R., uma mulher de 39 anos, corredora compulsiva, estava em boa saúde neu-rológica até Janeiro. Nessa época, caiu quando corria e quebrou a clavícula esquerda. Seis semanas mais tarde, quando a clavícula já tinha se curado, voltou a correr. No primeiro dia de volta à corrida, caiu novamente, arranhando ambas as mãos e os joelhos. Em Setembro, ela já havia caído freqüentemente enquanto corria e nas escadas no edifício onde morava. Relutan-temente, desistiu de correr. Diz que às vezes sente sua perna esquerda como se fosse um pe-daço de madeira. Recentemente, notou que sua mão esquerda parecia inchada e fraca e que tinha ficado desajeitada. Não há história familiar de doença neurológica. A paciente não tem história de doença médica séria. O exame neurológico realizado em 2 de setembro mostra que a paciente conta uma história lúcida. Era capaz de lembrar todos os três itens ao final do exa-me. Não foram encontradas anormalidades na função dos nervos cranianos. A Sra. C. R. ca-minha mancando, arrastando ligeiramente o pé esquerdo. Não é atáxica. Pode pular bem no pé direito, mas não no esquerdo. Pode fazer três flexões profundas dos joelhos, sem dificuldade. A avaliação dos sistemas motores mostrou que nos testes diretos de força, o braço e a perna esquerdos são mais fracos (4/5) do que as extremidades direitas correspondentes (5/5). Há nítido desvio e supinação do braço esquerdo, quando ela mantém os braços esticados. O tônus está aumentado em todas as extremidades e há nítida espasticidade na perna esquerda. O vo-lume dos músculos é simétrico e normal para uma mulher da sua idade. Não foram observados movimentos anormais. Os testes de sensibilidade revelaram que as apreciações da picada de alfinete, do toque leve com o algodão, da vibração e da posição das articulações estão todas dentro dos limites normais. O sinal de Romberg não está presente. Os reflexos de estiramento muscular em todas as extremidades são vivos (+), sendo os da esquerda mais acentuados que os da direita. Dois a quatro batimentos de clônus não-sustentado podem ser obtidos do tornozelo esquerdo. O sinal de Babinski está presente à esquerda e ausente à direita. Os movimentos alternantes rápidos da extremidade esquerda são um pouco incoordenados. As manobras dedo-nariz e calcanhar-joelho são realizadas razoavelmente, bilateralmente. Não foram testadas as funções parietais. Os exames complementares realizados foram: 1) Eletro-neuromiografia, que revelou comprometimento do neurônio motor do corno anterior da medu-la; e 2) Biópsia de músculo gastrocnêmio, que mostrou atrofia em pequenos grupos, com fibras de forma alongada e angular. Dessa forma, confirmou-se o diagnóstico de esclerose lateral amiotrófica. Evolução: A Sra. C. R. foi examinada, novamente, 11 meses mais tarde. Nessa ocasião, a fraqueza havia-se espalhado pelas quatro extremidades. Em Julho, suas mãos haviam-se tornado tão fracas, que ela teve de abandonar seu trabalho. O exame neurológico feito em 19 de agosto do ano seguinte revelou estado mental normal. Nervos cranianos normais. A avaliação da postura e marcha revela que a Sra. C. R. está agora em cadeira de rodas. Quando de pé, é muito instável e requer sustentação. Quando tenta andar, cambaleia, e cairia se não houvesse ajuda. O exame da motricidade mostra que a força está muito fraca em todas as quatro extremidades (3/5). As extremidades superiores es-tão muito espásticas, as inferiores um pouco menos. Há grande atrofia dos músculos de ambas as mãos e nítida atrofia dos músculos da cintura escapular. Há fasciculações acentuadas na língua e fasciculações ocasionais no deltóide direito e sobre as costelas inferiores à esquerda. A investigação dos sistemas sensoriais mostra que a Sra. C. R. é capaz de perceber a picada de alfinete, o toque com o algodão, a vibração e a posição das articulações, normalmente, nas quatro extremidades, no tronco e na face. Os reflexos de estiramento muscular dos quatro membros estão muito hiperativos (++). Há clônus sustentado no tornozelo esquerdo. Clônus não-sustentado pode ser demonstrado na mandíbula e no tornozelo direito. Sinal de Babinski presente bilateralmente. Não foram testados coordenação e equilíbrio. O nistagmo optocinéti-co está presente em ambas as direções. Não há afasia ou qualquer sinal atavístico. |
Sistema Nervoso Central |
|
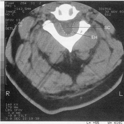
Caso 1 S. M., homem destro de 19 anos de idade, caiu numa calçada debatendo-se em convul-sões. Quando os paramédicos chegaram, as convulsões já haviam cessado, porém, os olhos do paciente estavam paralisados e desviados conjugadamente para a direita. Pouco tempo depois, iniciaram-se movimentos convulsivos no braço esquerdo, assim como, os olhos exibiam mo-vimentos rítmicos e involuntários para a esquerda. Após as crises, e com o paciente já acorda-do, foi realizado exame neurológico, o qual revelou uma discreta fraqueza do lado esquerdo do corpo. A anamnese revelou que o paciente tivera, 2 anos antes, um acidente de moto, no qual sofrera uma contusão frontal direita, o que confirmou o diagnóstico de epilepsia secundá-ria ou sintomática. Caso 2 A paciente era uma estudante de 8 anos de idade. Cinco meses antes, ela desenvolveu uma tendência a tropeçar e cair facilmente quando jogava com outras crianças. Essa falta de equilíbrio progrediu até o ponto de ter dificuldade de caminhar. No inicio, ela caía mais para a frente, e sua mãe relatava que quando a paciente tentava ficar em pé, ela balançava para trás. Contudo, cerca de 5 semanas antes da ida ao hospital, ela tendia a cambalear e cair mais para a esquerda. Desde essa época, ela apresenta tendência de vômito logo após despertar pela ma-nhã, e durante as 4 semanas anteriores ao seu internamento, ela queixava-se de cefaléia nucal e occipital; essa cefaléia piorou progressivamente, associando-se a um estado de desatenção, também progressivo. No dia da admissão ao hospital, a criança relatou que nos últimos dias tinha tido visão dupla. Não havia relato prévio de traumatismo craniano ou história recente de infecção respiratória ou otite. O exame neurológico revelou um andar atáxico com tendência a cair para a frente ou para a esquerda, dismetria nas provas dedo-nariz e calcanhar-joelho e tremor de intenção. Os reflexos tendinosos eram exagerados nos 4 membros e o reflexo plantar era extensor bilateralmente (sinal de Babinski). O exame oftalmoscópico revelou edema de papila bilateral. Havia fraqueza bilateral do músculo reto lateral e nistagmo espontâneo, que piorava na tentativa de olhar lateralmente. Havia também discreta paresia facial esquerda, de modo a não conseguir fechar a pálpebra do olho esquerdo, e a boca tinha discreto desvio para a direita. Não havia febre nem rigidez de nuca. A tomografia computadorizada do crânio revelou processo expansivo da linha média do cerebelo e hidrocefalia por aumento dos ventrí-culos laterais e 3o ventrículo. O paciente não pôde ser operado, vindo a falecer algumas sema-nas depois. A autopsia revelou tratar-se de um meduloblastoma. Caso 3 Uma mulher de 55 anos de idade, outrora saudável, começou a queixar-se de visão turva. Três dias mais tarde, ela despertou sem poder abrir seu olho esquerdo. Foi então hospi-talizada para avaliação. O exame neurológico revelou apenas ptose palpebral completa à es-querda. Quando lhe era levantada passivamente a pálpebra esquerda, evidenciava-se que o olho esquerdo estava desviado para fora. Além disso, ela não conseguia olhar para cima e para baixo com o olho esquerdo. Sua pupila esquerda era maior que a direita e também não res-pondia ao estímulo luminoso direto ou consensual, ou à acomodação. A pupila direita reagia a tudo. A acuidade visual era de 20/20 (normal) em ambos os olhos. Os campos visuais eram completos (normais). O exame de fundo de olho era normal, assim como a sensibilidade cór-nea. Foi realizada então uma angiografia dos 4 vasos (carótidos e vertebrais) que revelou a presença de um aneurisma da artéria comunicante posterior esquerda. Foi realizada clipagem cirúrgica do aneurisma e a paciente teve remissão parcial da paralisia do nervo oculomotor esquerdo. Caso 4 Uma mulher de 39 anos de idade procurou consulta médica por perda de memória e diminuição da visão. Tinha antecedentes pessoais de alcoolismo. Ao vir à consulta, ela estava mal vestida e mal cheirosa. Ela dizia gracejos e era demasiadamente eufórica. O exame neuro-lógico revelou diminuição da acuidade visual (20/80 à direita e 20/30 à esquerda), edema de papila bilateral, distúrbio de memória e cálculo. Foi realizada então uma tomografia computa-dorizada do crânio que revelou uma grande massa expansiva na área subfrontal esquerda su-prida por ramos da artéria oftálmica, sugestiva de meningioma, o que foi confirmado por e-xame histopatológico pós-cirúrgico. Caso 5 Uma mulher de 54 anos de idade queixava-se de cefaléia difusa ao voltar para casa após um show dançante. Suas amigas achavam que sua linguagem “era sem sentido”. No dia seguinte, sua fala voltou ao normal, porém, estava com febre, e por isso, procurou um hospital. Antes, ela tinha estado bem, exceto por ter tido otite média crônica. Na emergência, ela teve uma convulsão, a qual consistia de movimentos no braço e perna direitos e versão de cabeça e olhos para a direita, durando vários minutos. Sua temperatura era de 39ºC. O exame físico revelou uma perfuração da membrana timpânica direita. Ela estava sonolenta, porém, era despertada facilmente. Ela respondia “eu não sei” a todas as perguntas que lhe eram feitas. Os reflexos tendinosos estavam aumentados no braço e perna direitos, e havia sinal de Babinski à direita, hemiparesia direita e hemianopsia direita. Não havia rigidez de nuca nem sinal de Kernig. Foi feita uma punção lombar e o líquido cefalorraquidiano (LCR) revelou aspecto límpido, pressão de 90 mmH2O, celularidade com 6 hemácias e 452 leucócitos/mm3 (30% polimorfonucleares e 70% mononucleares). A glicose era de 65 mg/dl e a proteína total de 66 mg/dl. A coloração pelo gram era negativa. Hemograma e glicemia normais. O EEG mostrava um foco de ondas lentas no lobo temporal esquerdo. A tomografia computadorizada do crânio revelou uma área hiperdensa também no lobo temporal esquerdo. Foram feitas culturas, e iniciou-se o tratamento com penicilina e oxacilina. As culturas foram negativas. Na semana seguinte, ela ficou torporosa com hemiparesia direita. O estudo do LCR revelou 53 leucócitos/mm3 (todos mononucleares), proteína de 24 mg/dl e glicose normal. Preparação com tinta da Índia negativa (para criptococos). Rx do tórax mostrava pneumonia bilateral. EEG com foco de ondas lentas (delta) bitemporal. Nova TC revelou área hiperdensa no lobo temporal esquerdo. As crises parciais e generalizadas continuavam intermitentemente, apesar da medicação anticonvulsivante. A paciente continuava torporosa. Os reflexos plantares eram ambos extensores. Foram retirados os antibióticos e nova punção foi feita, a qual se revelou normal. Seu coma aprofundou-se e ela só reagia ao estímulo doloroso, apresentando uma pos-tura de descerebração. A paciente faleceu 6 semanas após a admissão. O resultado da do-sagem do título de anticorpos para Herpes simplex subiu de 1:4 vários dias após a admissão para 1:64 duas semanas após. Os títulos de anticorpos para outros vírus não subiram. A autóp-sia revelou êmbolos pulmonares e pneumonia aspirativa. Macroscopicamente, o cérebro apre-senta área de destruição e amolecimento no lobo temporal esquerdo. Microscopicamente, havia necrose do córtex do lobo temporal esquerdo, com alguma extensão para a substância branca, infiltrado celular perivascular e glicose. Não foram vistos corpos de inclusão celular. Havia raros focos meníngeos de células inflamatórias. Caso 6 A Sra. J. R. é uma mulher negra, de 67 anos de idade, até então saudável, que veio ao departamento de emergência queixando-se de edema e mobilidade diminuída no seu braço direito. Declarou que há 5 dias notou uma sensação de queimação debaixo da axila direita e fraqueza do braço direito, que persistiu até o momento. Não tem dor. No passado, havia sido submetida a uma cirurgia nos ouvidos, bilateral (diagnóstico não-declarado), e a uma cirurgia bilateral do túnel do carpo. Começou a usar bengala há cerca de um ano, porque passou a mancar. O exame físico revelou temperatura de 95,2ºF, 35ºC, coração a 80 bpm, 20 incursões respiratórias e pressão arterial de 152/82. Paciente bem-humorada, não mostrando sinais de desconforto ou preocupação. Uma cicatriz de queimadura foi observada no ombro esquerdo, que a paciente disse ser resultado do uso de bolsa térmica elétrica, há 10 anos. Não usa mais bolsas elétricas. Sua articulação do cotovelo esquerdo estava muito aumentada e deformada. O exame neurológico mostrou que a Sra. J. R. estava orientada quanto ao lugar, à pessoa e ao tempo. Contava uma história coerente. Não foram observadas anomalias na função dos nervos cranianos. A paciente caminhava mancando ligeiramente, favorecendo o lado direito. Estava firme sobre seus pés. As flexões profundas do joelho e o pular num só pé não foram realizadas. O exame dos sistemas motores mostrou que a força nas pernas da paciente era igual bila-teralmente (5/5). Fraqueza (3/5) e falta de mobilidade no membro superior direito foram ob-servadas. A preensão da mão esquerda era mais fraca que a da direita. Não foram observadas espasticidade ou rigidez. Observou-se atrofia dos músculos interósseos da mão esquerda. Não foram observados movimentos anormais. Do ponto de vista da sensibilidade, havia percepção diminuída bilateralmente da picada do alfinete e da temperatura, da base do pescoço até 2 cm acima do umbigo. A percepção do chumaço de algodão passado sobre a pele era assimilada igualmente nas quatro extremidades e no torso. Era capaz de ficar de pé, sozinha, com os olhos abertos e fechados (teste de Romberg normal). Os reflexos de estiramento muscular estavam ausentes bilateralmente dos músculos bíceps, tríceps e bráquio-radial. Os reflexos estavam aumentados (+) bilateralmente nos músculos quadríceps e gastrocnêmio. O sinal de Babinski estava presente bilateralmente. Os testes calcanhar-joelho e dedo-nariz (braço es-querdo) foram realizados e portanto estavam normais. Não foi observada afasia. Sinais atavís-ticos e o reflexo optocinético não foram testados. Os resultados dos exames de neuroimagem foram os seguintes: 1) As radiografias revelaram fratura com deslocamento da cabeça distal do úmero direito e degeneração grave das articulações do cotovelo esquerdo e do ombro direito (articulação neurotrófica); e 2) A imagem por ressonância magnética do encéfalo e da medula espinhal revelou malformação de Arnold-Chiari e siringomielia da medula espinhal desde a junção cérvico-bulbar até o nível torácico médio (vide figura). O diagnóstico foi então confirmando como sendo siringomielia associada à malformação de Arnold-Chiari.
Caso 7 O Sr. E. A. é um homem branco, com 55 anos de idade, empregado como ferramentei-ro de uma grande corporação. Foi examinado, primeiro, por seu médico, em 11 de abril, quei-xando-se de dormência nos pés. A dormência já durava há vários meses. Na ocasião, determi-nou-se que o Sr. E. A. era alcoólatra, mas ele recusou tratamento para seu alcoolismo. Hoje, queixa-se de fraqueza geral e dormência nos membros inferiores, dizendo que seus sintomas pioraram desde a última visita médica. O Sr. E. A. não tem história de outros problemas mé-dicos graves. O exame físico mostrou pressão arterial de 155/95, sem outros achados. O exame neurológico revelou que o Sr. E. A. contava uma história coerente e concisa. Estava orientado quanto à sua pessoa, ao lugar e ao tempo. Lembrou-se dos três itens pedidos. Não foram encontradas anormalidades na função dos nervos cranianos. A marcha do Sr. E. A. era segura, mas com a base aumentada e atáxica. Tendia a bater os pés no chão, quando caminhava. Mos-trou-se incapaz de andar nos calcanhares e nas pontas dos pés. O exame dos sistemas motores mostrou que a força nas extremidades superiores era bilateralmente simétrica e normal (5/5). Não havia desvio, quando mantinha os braços esticados na frente do corpo. A força dos membros inferiores era simétrica, mas fraca ao teste direto de força (4/5). Com dificuldade, conseguia fazer flexão profunda dos joelhos. Não havia espasticidade ou rigidez. Volume muscular normal, sem atrofia aparente. Ausência de fasciculações ou outros movimentos a-normais. A pesquisa dos sistemas sensoriais mostrou que a percepção da picada de alfinete estava bilateralmente atenuada, e a sensibilidade vibratória, ausente, dos joelhos para baixo, inclusive nos pés. O Sr. E. A. não conseguia determinar a posição dos dedos dos pés, quando eram movimentados, passivamente, pelo examinador. Ao pedir-lhe que ficasse de pé sobre uma base estreita, ficava razoavelmente estável. Quando lhe foi pedido que fechasse os olhos, tornou-se instável, e teria caído, se não fosse amparado pelo examinador (teste de Romberg). As sensações a partir dos membros superiores eram simétricas e percebidas como normais. Ambos os reflexos aquileus (músculos gastrocnemius-soleus) apresentavam-se deprimidos (--). Os reflexos patelares (músculo quadríceps) e os do membro superior estavam normais. Os reflexos plantares eram flexores. As provas calcanhar-joelho, dedo-nariz, movimentos alternantes rápidos das mãos e o toque rápido dos dedos foram facilmente realizados. Ausên-cia de afasia; nistagmo optocinético presente em ambas as direções. Ausência de sinais atávi-cos. Não foram solicitados exames complementares. Evolução: O Sr. E. A. foi novamente encorajado a procurar tratamento para o alcoo-lismo e, de novo, recusou. Foram prescritos suplementos vitamínicos, e o paciente foi aconse-lhado a melhorar seu estado nutricional. Seu diagnóstico definitivo estabeleceu-se como poli-neuropatia de origem hipovitamínica. Caso 8 A Sra. N. B. é uma mulher branca, com 63 anos de idade, que foi ao médico de família queixando-se de dor na parte inferior das costas, que se estendia para o lado e para baixo, ao longo de sua perna direita. Caminhava, obviamente, mancando. A dor começou em abril e tem piorado. A Sra. N. B. relatou que a dor era intensa e que, depois de uma semana de repouso completo no leito, a dor permanecera sem diminuir. A Sra. N. B. não tem história de doença médica grave. O exame físico mostrou que a Sra. N. B. está em boa saúde física. Pressão arterial de 135/80. O exame neurológica revelou que a Sra. N. B. está orientada quanto à sua pessoa, ao lugar e ao tempo. Ao final do exame, lembrava-se dos três itens requisitados. Não foram encontradas anormalidades na função dos nervos cranianos. A Sra. N. B. caminhava mancando, favorecendo a perna direita. Podia andar nos calcanhares, mas tinha alguma dificuldade em andar na ponta dos pés, sendo incapaz de manter a extensão do pé direito. A avaliação da motricidade revelou que a força era 5/5, exceto nos músculos gastrocnemius-soleus direito, onde era 4/5. Não havia espasticidade ou rigidez. O volume muscular era nor-mal para uma mulher de sua idade. Ausência de atrofia óbvia. Ausência de fasciculações ou outros movimentos anormais. O exame dos sistemas sensoriais revelou sensibilidade amor-tecida à picada de alfinete, no bordo lateral da extremidade inferior direita e no pé. A Sra. N. B. sentia dor intensa quando sentada numa cadeira ou quando ficava de pé. Tinha mais con-forto deitada na cama, com os joelhos fletidos, apesar de, mesmo então, não estar livre da dor. A elevação passiva da perna estendida era limitada a 30º, pela dor, à direita. A perna esquerda podia ser elevada a 90º quase sem dor. Os reflexos de estiramento muscular estavam normais e simétricos, exceto o do tendão aquileu direito, no qual estava ausente. Os reflexos plantares estavam em flexão plantar, bilateralmente. Todos os testes cerebelares foram realizados sem dificuldade. Todos os testes parietais eram normais. Foi solicitada uma ressonância magnética da coluna lombo-sacra (vide figura), a qual revelou hérnia discal ao nível de S1, confirmando assim o diagnóstico de radiculopatia compressiva.
Evolução: A Sra. N. B. foi submetida à cirurgia no dia seguinte. O disco intervertebral foi removido entre as vértebras L5 e S1, sem incidentes. Foi-lhe prescrito um programa su-pervisionado de fisioterapia. Seis meses após a cirurgia, a paciente estava livre da dor e tinha retomado sua vida normal. Caso 9 A Sra. A. R. é uma mulher de 64 anos de idade que queixa-se de que o lado esquerdo do corpo está fraco e esquisito. Tem tremor há vários anos, e recentemente piorou tanto que ela foi ao médico da família. Este pediu uma consulta neurológica, porque pensou que ela havia tido um derrame. A paciente diz que se sente toda dura e que tem dificuldade para iniciar a marcha. Pisca raramente, e sua neta a chamava, brincando, de grande cara de pedra. Há quatro anos, a Sra. A. R. desenvolveu um tremor na mão esquerda. Ao longo de alguns meses, o tremor se espalhou para a perna esquerda. Diz que não teve a gripe espanhola, durante a grande epidemia da década de 1920. Não teve qualquer exposição, ocupacional ou social, a níveis tóxicos de monóxido de carbono, manganês, dissulfito de carbono, ou MPTP. Nunca foi tratada com fenotiazinas, reserpina, haloperidol, ou substâncias semelhantes. Não há histó-ria de doença neurológica na sua familia. O exame neurológico revelou que a paciente está alerta, espirituosa e conversa muito bem. Orienta-se quanto ao tempo e ao espaço. Pode fazer subtrações seriadas de sete e sabe os nomes de alguns presidentes do Brasil. Não há déficits de memória. Todas as funções dos nervos cranianos estão dentro dos limites normais. Apesar de sua voz ser muito suave, não há indicação de rouquidão. Os movimentos extra-oculares são plenos, simétricos e bem coordenados. A fisionomia de A. R. é sem expressão, mesmo quando envolvida em conversação animada ou contando uma anedota. Não ajusta sua postura, nem faz muitos movimentos subconscientes, quando sentada na cadeira. Quando de pé, sua postura é curvada, mantendo os braços ligeiramente aduzidos e fletidos. Tem marcha arrastada e não balança os braços enquanto anda. Quando se vira, fica no lugar e arrasta os pés, girando em torno de um ponto único, como se estivesse sobre um pedestal. Todos os seus movimentos são lentos e deliberados. A avaliação da motricidade mostra que a força é +5 em toda parte. Há rigidez em roda dentada bem desenvolvida nos braços e nas pernas. Está um pouco mais rígida do lado esquerdo do que do direito; não há sinais de espasticidade ou clônus. Não há atrofias musculares. Há tremor óbvio de repouso de 3 a 5 Hz em todas as extremidades. O lado esquerdo está pior que o direito. Durante os movimentos voluntários, o tremor diminui ou mesmo desaparece. Não há fasciculações. Sua percepção da picada do alfinete e do toque com algodão e simétrica e dentro dos limites normais. Os reflexos de estiramento muscular estão todos dentro dos limites normais e são simétricos. Os sinais plantares são em flexão. Não foram testados coordenação e equilíbrio. O reflexo optocinético está presente, tanto para a esquerda quanto para a direita. Não há afasia ou negligência. O diagnóstico clínico definiu-se como doença de Parkinson. Evolução: A Sra. A. R. está tomando um medicamento (Sinemet) que combina carbi-dopa e L-dopa, no mesmo comprimido. A carbidopa é um inibidor da descarboxilase, que não cruza a barreira hemato-encefálica. Impede a conversão da L-dopa em dopamina na circulação sistêmica, enquanto permite que a conversão ocorra na circulação cerebral. Essa combinação reduziu, de muito, os efeitos colaterais associados à L-dopa isolada. A Sra. A. R. está passando bem. Seu desempenho motor geral é mais lento que o normal, mas ela é capaz de caminhar sem ser assistida e de desempenhar todas as atividades da vida diária. Está morando sozinha e tem vida social ativa. Caso 10 O Sr. B. T., um homem com 52 anos de idade, foi levado ao hospital por sua família, depois de se tornar delirante e confuso durante o piquenique familiar em dezembro. Não obs-tante a temperatura estar nos 30ºC, o Sr. B. T. estava com frio e pediu um cobertor. Pensando que ele estava brincando, a família ignorou seu pedido. Mais tarde foi encontrado enrolado em um cobertor, tremendo e delirante. No departamento de emergência, o Sr. B. T. não estava mais delirante. Estava tremendo violentamente e enrolado nos três cobertores que tinha pedido às enfermeiras. O exame físico revelou pressão arterial de 132/82, 97 de pulso, e temperatura de 39,5ºC. Ele não estava transpirando. O exame do estado mental mostrou que o Sr. B. T. estava acordado, alerta, e orientado quanto à data, ao tempo e ao lugar. Disse que sua familia pensou que ele delirava, porque tinha pedido um cobertor. Afirmou que estava apenas com muito frio. Tinha consciência de que era um dia muito quente de dezembro. Disse que sabia por que estava com frio. Podia fazer subtrações seriadas de sete e lembrar os nomes de alguns presidentes do Brasil. Ao final do exame, foi capaz de lembrar dos três itens que lhe haviam pedido que memorizasse. A avaliação dos nervos cranianos revelou os seguintes achados: OLFAÇÃO: o paciente podia detectar e identificar corretamente silicato de metila por ambas as narinas; VISÃO: havia uma densa hemianopsia bitemporal ao exame de confrontação; MOTI-LIDADE OCULAR: ele podia seguir o dedo, em movimento, do examinador, em todas as dire-ções. Não havia nenhuma fraqueza óbvia de qualquer um dos músculos da motilidade ocular ou nistagmo. As respostas pupilares estavam presentes e consensuais a partir de ambos os olhos. Não havia ptose; TRIGÊMEO: as sensações do algodão e da picada do alfinete estavam presentes e simétricas em todas as divisões. O reflexo corneano estava presente. Os músculos masseteres eram iguais; FACIAL: a careta era simétrica e plena. Os olhos pareciam normalmente hidratados; AUDIÇÃO: aparentemente normal ao esfregar dos dedos; VAGO GLOSSOFARÍNGEO: a voz estava normal. Arcos faríngeos altos e simétricos. Úvula na linha média. Reflexo do vômito presente; ACESSÓRIO: os músculos esternocleidomastóideo e o trapézio pareciam ter força normal e eram simétricos; HIPOGLOSSO: a língua era protruída na linha média. Não havia fasciculações ou atrofia. A avaliação da postura e marcha mostrava ser marcha normal. Marcha emparelhada, o pular, o teste de Romberg, calcanhar-joelho e dedo-nariz, todos realizados sem dificuldade. O exame da motricidade revelou que a força era 5/5 em todas as extremidades e articulações. Não se observou desvio. Não havia espasticidade ou rigidez. O volume muscular era simétrico e apropriado. Não foram observados movimentos anormais. A percepção da picada do alfinete e do algodão estava presente e simétrica em todas as áreas. O teste de Romberg era normal. Todos os reflexos de estiramento muscular estavam dentro dos limites normais e eram simétricos. Sinais plantares em flexão. As provas dedo-nariz, calcanhar-joelho, movimentos alternantes rápidos das mãos e dos dedos, foram todas realizados sem difi-culdade. Ausência de afasia ou de sinais atavísticos. Comentário: Encontrar o Sr. B. T. tremendo e enrolado em três cobertores em um dia quente de dezembro poderia sugerir que ele estivesse delirante ou histérico. No entanto, uma doença psiquiátrica é menos provável, à luz da hemianopsia bitemporal revelada durante o exame neurológico e da ausência de sudorese, apesar de sua temperatura corporal elevada. A tomografia computadorizada do crânio revelou grande massa ao nível do quiasma óptico, con-firmando assim o diagnóstico de proceso expansivo compressivo da região paraselar. Evolução: Foi realizada uma craniotomia, e a massa foi removida com sucesso. O Sr. B. T. recuperou-se da cirurgia, sem complicações. O paciente mudou-se subseqüentemente da região em que morava e sua evolução não foi mais acompanhada. Caso 11 O Sr. G. P., um jardineiro com 36 anos de idade, foi visto no departamento de emer-gência, porque um grande galho de árvore caíra sobre sua cabeça, quando estava podando a árvore com uma motosserra. O galho empurrou seu peito sobre o cabo da serra, e a lâmina da serra se enterrou-se no chão. Ele queixou-se de dores no peito e nas costas, e de cefaléia. A laceração de 8 cm no couro cabeludo occipital foi reparada. A radiografia da espinha cervical e o exame neurológico produziram achados normais. Ele recebeu alta. Então, 48 horas mais tarde, o Sr. G. P. tomou aproximadamente 12 comprimidos de 200 mg de Ibuprofeno, em bre-ve período de tempo, por causa da dor inter-escapular que piorava. Cerca de quatro horas mais tarde, 52 horas depois da lesão inicial, queixou-se de piora súbita da dor nas costas, que se irradiava para o peito e os ombros. Caiu ao chão, incapaz de mover as pernas, queixando-se de dormência nas mesmas. Era capaz de mover os braços e os dedos do pé esquerdo. Quando foi trazido ao departamento de emergência, por ambulância, ele tinha perdido toda a atividade motora das extremidades inferiores e observou formigamento nos braços. Ao longo das duas horas em que esteve no departamento de emergência e no serviço de radiologia, desenvolveu fraqueza da preensão manual. O exame físico mostrou pressão arterial de 160/95 e 12 respira-ções laboriosas por minuto. O exame neurológico revelou que o Sr. G. P. está desperto, alerta e orientado quanto à pessoa, tempo e lugar. Não foram observadas anormalidades na função dos nervos cranianos. Não foram testadas postura e marcha. O exame da motricidade revelou que a força era 0/5 em todos os grupos musculares de ambas as extremidades inferiores; a força da preensão manual e da flexão do punho era 4/5. O tônus muscular era flácido em ambos os membros inferiores. O tônus dos membros superiores era normal. Volume muscular normal para um homem trabalhador de sua idade. Não havia atrofias. Não foram observados movimentos anormais. Há perda sensorial completa à picada do alfinete e ao toque leve do algodão, do nível de C7-T1 para baixo. Os reflexos de estiramento muscular do bráquio-radial, bíceps e tríceps são normais bilateralmente. Os reflexos do gastrocnêmio e do quadríceps estão ausentes bilateralmente. Não há resposta à estimulação plantar. Os reflexos cremastérico e abdominais estão ausentes bilateralmente. Há movimento abdominal paradoxal à respiração. Não há tônus retal, e o reflexo anal está ausente. Não foram testados coordenação e equilíbrio, assim como funções parietais. A radiografia e a tomografia computadorizada da coluna torácica produziram achados normais. A TC da coluna cervical sugeria hematoma epidural de C6 a C7. A mielografia revelou um longo hematoma epidural circunferencial, estendendo-se de C2 a T3, com bloqueio quase completo de C6 a C7 (vide figura). Evolução: O paciente foi imediatamente levado à cirurgia, quando foi feita laminec-tomia de C3 a T3 para aliviar a pressão sobre a medula espinhal e evacuar o hematoma. Na sala de recuperação, o Sr. G. P. observou movimentos normais de seus braços e dedos. Durante as duas semanas subseqüentes, teve recuperação completa de suas funções motoras e sensoriais na ordem inversa da paralisia ascendente.
Caso 12 Um caso famoso de amnésia resultante de lesão do lobo temporal fornece-nos evidên-cia da importância dessa região para a memória. Um homem, conhecido por sua iniciais H. M., tem sido amplamente estudado. Ele apresentava crises epilépticas de pouca gravidade que começaram ao redor dos 10 anos de idade, mas que se tornaram mais sérias à medida que crescia, com crises generalizadas envolvendo convulsões, mordida da língua e perda de cons-ciência. Embora a causa das crises não seja conhecida, elas podem ter resultado de uma lesão sofrida em conseqüência de um acidente em que foi jogado de sua bicicleta com 9 anos de idade, permanecendo inconsciente por 5 minutos. Após concluir o ensino médio, ele conseguiu um emprego mas, a despeito da intensa medicação com anticonvulsivantes, suas crises aumentaram em freqüência e gravidade, a ponto de ele não ser mais capaz de trabalhar. Em 1953, aos 27 anos de idade, H. M. foi submetido a uma cirurgia, numa última tentativa de aliviar as crises; uma porção de 8 cm de seu lobo temporal medial sofreu excisão bilateral, incluindo o córtex, a amígdala e os dois terços anteriores do hipocampo. A cirurgia obteve sucesso, pois as crises diminuíram. A remoção de grande parte dos lobos temporais teve pouco efeito sobre a percepção de H. M., sua inteligência ou personalidade. Ele ainda vive e, em quase todos os aspectos, parece normal. Essa aparente normalidade, no entanto, esconde a realidade de que a cirurgia deixou-o com uma amnésia tão profunda que ele se tornou incapaz de desempenhar atividades humanas básicas. H. M. apresenta uma memória retrógrada parcial para os anos que precederam a cirurgia. Muito mais grave, no entanto, é sua extrema amnésia anterógrada. Enquanto ele se lembra de muitas coisas de sua infância, é incapaz de se lembrar de alguém que encontrou 5 minutos antes. A Dra. Brenda Milner, do Instituto Neurológico de Montreal, tem trabalhado com H. M. há mais de 40 anos, mas ela precisa apresentar-se a ele cada vez que se encontram. Milner tem dito que parece que H. M. se esquece dos eventos tão rapidamente quanto eles ocorrem. Se lhe dizemos para lembrar-se de um número e, então, alguém o distrai, ele não apenas esquece o número, mas também esquece de que lhe havia sido pedido que recordasse de um número. H. M. não vive na mesma casa em que vivia em 1953, de forma que não consegue achar o caminho em seu próprio bairro. Ele também sempre subestima sua idade, e é incapaz de reconhecer-se em uma foto atual. Para esclarecer a natu-reza da amnésia de H. M., devemos contrastar aquilo que foi perdido com o que permaneceu. Ele se lembra de sua infância, de forma que memórias de longa duração, formadas antes da cirurgia, e sua capacidade de evocar eventos passados não foram destruídas. Sua memória de curta duração também é normal. Por exemplo, com ensaio constante, ele consegue recordar uma lista de seis números, embora qualquer interrupção faça com que ele a esqueça. Ele sim-plesmente tem uma incapacidade extrema de para formar novas memórias declarativas. É, porém, muito importante observar que ele é capaz de aprender novas tarefas (i.e., formar novas memórias de procedimento). Por exemplo, ele pode ser ensinado a desenhar olhando sua própria mão em um espelho, uma tarefa que exige um bocado de prática para qualquer um. O estranho é que ele aprende a desempenhar novas tarefas, mas não tem recordação alguma das experiências específicas nas quais elas lhe foram ensinadas (o componente declarativo do aprendizado). Caso 13 Helena, de 67 anos de idade, dextra, foi admitida no hospital por instalação súbita de fraqueza do lado esquerdo, notada por seu marido. O exame revelou que ela não possuía ape-nas uma hemiparesia esquerda moderada, mas também um deficit visual esquerdo (hemianop-sia homônima) e um deficit parcial sensitivo esquerdo. Quando lhe foi perguntado o que a perturbava, ela dizia que nada a incomodava. Ao lhe perguntar por que ela não conseguia an-dar, ela dizia que era por causa dos joelhos. Quando lhe foi solicitado que levantasse os dois braços, ela só o fazia com o braço direito, e mesmo assim afirmava que tinha levantado ambos os braços. Quando o médico segurava o braço esquerdo dela e lhe apresentava diante de sua face, ela pedia que ele retirasse o braço dele (do médico) da frente dela. Mais tarde, ela achava que seu braço esquerdo era artificial, e que os médicos lhe tinham dado sem que ela soubesse porque. Comente sobre os sintomas, diagnóstico e correlação anátomo-clínica. |
Sistema Nervoso Periférico |
|
Caso 1 Uma mulher casada, de 55 anos de idade, foi enviada ao neurologista por causa de visão dupla (diplopia) recorrente. Sete semanas antes, ela estava assistindo TV, quando, pela 1a vez, notou visão dupla, tanto em relação às imagens do aparelho, quanto aos objetos da sala. Esse sintoma persistiu até o momento dela recolher-se ao leito. Na manhã seguinte, sua visão estava normal, porém, por volta das 18:00 h, a diplopia retornou, ocorrendo assim diariamente. Três semanas após o início dos sintomas, seu marido notou que ela estava com a pálpebra direita baixa, e uma semana depois, o mesmo ocorreu com a pálpebra esquerda. Quando ela tentava ler por cerca de 20 minutos, suas pálpebras ficavam ainda mais baixas, e por vezes, sua cabeça tendia a cair para a frente. A paciente também relatou que nos últimos 2 meses ela observa que sua mandíbula cansava-se ao final das refeições, o que lhe dificultava mastigar e deglutir. O exame neurológico revelou diplopia ao olhar para a esquerda e para cima, assim como, fraqueza da musculatura ocular e ptose palpebral bilateral, com predomínio à direita. Esses sintomas se agravavam quando se pedia ao paciente que olhasse continuamente para cima por 1 minuto. Diante disso, foi realizado um teste com anticolinesterásico (edrofô¬nio) endovenoso, e cerca de 1 minuto e meio após a injeção, houve uma regressão importante do quadro, o que confirmou o diagnóstico de miastenia gravis. Caso 2 A história clínica abaixo relaciona-se com uma criança do sexo masculino, com 7 anos de idade, que nascera de parto normal e tivera desenvolvimento psicomotor também normal. Os pais, no entanto, relataram, em retrospectiva, que a criança caminhava normal, porém, de modo peculiar. Na idade de 4 anos, sua família começou a preocupar-se com a facilidade com que ela caía, e com a dificuldade de levantar-se, fazendo-o lentamente. Além disso, tinha também dificuldade de subir escadas. Na idade de 5 anos, a dificuldade progressiva de andar era ainda mais evidente; a criança caía mais facilmente e não conseguia segurar objetos pesa-dos. Sua mãe também notou que seu dorso era côncavo e seu abdômen proeminente. Seu tio materno tivera doença semelhante que progredira para incapacidade motora (cadeira de rodas) aos 10 anos e conseqüente morte por insuficiência respiratória aos 20 anos. O paciente tinha uma irmã que era sadia. O exame físico revelou lordose lombar e escápulas proeminentes. Havia também aumento de volume das panturrilhas. A criança não conseguia caminhar sobre os calcanhares. Para levantar-se da posição deitada, ela necessitava de suas mãos para apoio sobre seu corpo até soerguer-se. Havia fraqueza proximal das quatro extremidades. Os flexores do pescoço eram fracos. Todos os reflexos tendinosos estavam ausentes. A coordenação e a sensibilidade eram normais. Os exames laboratoriais revelaram os seguintes achados: TGO = 185 mg/dl, TCP = 160 mg/l, Aldolase = 102 e CPK = 500 mg/dl. EEG e ECG normais. A eletroneuromiografia revelou unidades motoras polifásicas e miniaturas com voltagem e dura-ção reduzidas. A velocidade de condução motora era normal. A biópsia de músculo revelou variação moderada do diâmetro das fibras com áreas de necrose e fagocitose, proliferação de tecido conjuntivo peri- e endomisial e tecido lipídico. Vasos e terminais nervosos normais. Os achados clínicos e laboratoriais confirmaram o diagnóstico de distrofia muscular progressiva do tipo Duchenne (distrofinopatia). Caso 3 Uma jovem de 19 anos de idade queixava-se de progressiva diminuição da audição do ouvido direito ao longo dos últimos 2 anos. Ela só conseguia escutar ao telefone com o ouvido esquerdo. Nessa época, ela também queixava-se de zumbido no ouvido direito. Por muitos anos, ela tinha sofrido de cefaléia occipital, a qual se tornara pior recentemente, de modo a despertá-la durante o sono. O exame neurológico revelou a presença do reflexo plantar es-querdo extensor (sinal de Babinski), edema de papila bilateral, acuidade visual normal e nis-tagmo vertical e horizontal. Havia diminuição da sensibilidade da córnea à direita. A comissu-ra labial direita era flácida e havia fraqueza facial moderada à direita (andar inferior). A audi-ção estava diminuída no ouvido direito. As membranas timpânicas eram normais. O teste de Rinne mostrava que a condução aérea era melhor do que a óssea. O teste de Weber era latera-lizado para a esquerda. A audiometria revelou perda neurosensorial no ouvido direito. O teste de discriminação verbal atingia apenas 36% no ouvido direito e 100% no esquerdo. O teste calórico com água gelada no ouvido esquerdo produzia nistagmo, enquanto que no direito, não exibia resposta. A tomografia computadorizada revelou um processo expansivo situado no ângulo ponto-cerebelar, o qual, após a cirurgia, foi diagnosticado histopatologicamente como sendo schwannoma (neurilemoma) do acústico. Caso 4 Um homem de 45 anos de idade procurou consulta médica por queixa de fraqueza muscular. Na infância e adolescência, ele fora atleta, porém, nos últimos 10 anos, ele vinha observando fraqueza e atrofia progressivas de ambos os braços e pernas. Ao longo desse tem-po, ele também notou que quando fechava sua mão com força não conseguia abri-la rapida-mente. E isso piorava com o frio. Há alguns anos, tinha-lhe sido diagnosticado também cata-ratas. Ele possuía 4 filhos, todos sadios, porém, as informações sobre a história de anteceden-tes familiares não era completa. Ao exame físico, observou-se que ele era calvo e mostrava atrofia dos músculos temporais e masseteres. Havia atrofia muscular distal de todas as extre-midades e fraqueza dos músculos faciais e das extremidades. Os reflexos tendinoso eram di-minuídos. A percussão da eminência tenar produzia oposição do polegar, com relaxamento muito lento. Havia catarata bilateral e os testículos eram atrofiados. A eletromiografia mos-trava descargas miotônicas em todos os músculos testados. A creatinofosfoquinase e a desi-drogenase láctica estavam bastante elevadas. O EEG mostrava um bloqueio de ramo esquerdo. A biópsia do músculo deltóide revelava uma considerável variação do tamanho das fibras, com grande quantidade de núcleos sarcolêmicos em posição central. Confirmou-se então o diagnóstico de distrofia miotônica (doença de Steinert), sendo feito tratamento sintomático da mesma com fenitoína. |
Vascularização |
|
Caso 1 M. A., mulher destra de 74 anos de idade, portadora de fibrilação atrial, caiu abrupta-mente de sua cadeira, ficando impossibilitada de mover seu lado direito. Na emergência onde foi atendida, evidenciou-se uma grande hemiparesia direita associada com hemianopsia ho-mônima direita (amputação de campo visual), impossibilidade de falar e deficiência sensitiva do hemicorpo direito. Os olhos estavam desviados e paralisados conjugadamente para a es-querda. Uma tomografia computadorizada do crânio, realizada 48 horas após o evento, reve-lou uma extensa lesão isquêmica no hemisfério esquerdo, e o exame cardiológico revelou arritmia cardíaca como causa do AVC embólico da paciente. Caso 2 O Sr. A. M., de 44 anos, funcionário de uma fábrica, estava fazendo prateleiras na sua garagem, tarde da noite de um domingo, quando reparou que seu braço e sua perna esquerdos estavam um pouco fracos. Decidiu parar o trabalho, concluindo que estava provavelmente cansado demais e que era hora de ir dormir. Na manhã seguinte, a fraqueza do lado esquerdo estava muito pior. Além disso, a mão direita e a perna esquerda estavam dormentes e formi-gando. Apesar dessas dificuldades, resolveu ir trabalhar naquela manhã, porque não queria perder a festa da aposentadoria de um amigo na hora do almoço. Jurou telefonar para seu mé-dico de família, assim que ele chegasse, para ver se podia consultá-lo ainda naquela tarde. Ao longo de algumas horas, a fraqueza do Sr. A. M. se agravou. Aproximadamente às 10 horas, durante a pausa para o café, ele começou a ter dificuldade para falar. Quando tomou um gole do seu refrigerante, teve dificuldade em engolir e ele começou a tossir. Embaraçado e visi-velmente perturbado, explicou a seus colegas que sua boca “não estava funcionando direito”. Relatou nervosamente a natureza das outras dificuldades que vinha tendo nos últimos dois dias. Comiserado por sua fala visivelmente atrapalhada, um colega se ofereceu para levá-lo ao departamento de emergência do hospital próximo. O Sr. A. M. é um grande fumante (três maços por dia, há 25 anos) e um antigo forte bebedor (duas caixas de cerveja por semana). Relata que não toma mais bebidas alcoólicas, mas continua fumando. O exame físico mostra que o Sr. A. M. pesa 106,5 quilos e tem 1,78 metro de altura. Sua pressão arterial é de 180/110, com freqüência cardíaca em repouso de 93 bpm. O exame físico não apresenta outros achados. O exame neurológico revela que o Sr. A. M. estava alerta, cooperativo, e orientado quanto à pessoa, lugar e tempo. Não foram relatados testes de memória. O exame de nervos cranianos mostrou os seguintes resultados: OLFAÇÃO: não foi testada; VISÃO: campos visuais plenos à confrontação; MOTILIDADE OCULAR: não foi testada; PUPILAS: iguais e reativas ao reflexo direto e consensual à luz. A acomodação não foi testada; TRIGÊMEO: havia sen-sibilidade diminuída à picada do alfinete no lado direito da face. As respostas ao algodão e o reflexo corneano não foram testados; FACIAL: a prega nasolabial direita estava um tanto acha-tada, e a boca caía ligeiramente à direita. A motilidade das sobrancelhas não foi testada; AU-DIÇÃO: o paciente podia ouvir o esfregar dos dedos junto ao pavilhão da orelha. A audição era aparentemente normal nos dois ouvidos; VAGO GLOSSOFARÍNGEO: a voz era normal. O reflexo do vômito e o aspecto dos arcos faríngeos e da úvula não foram testados; ACESSÓRIO: não foi testado; HIPOGLOSSO: a língua desviava para a direita na protrusão. Na avaliação da Postura e Marcha, evidenciou-se que a marcha era ligeiramente atáxica, com base alargada. Incapaz de caminhar atrás de outra pessoa. Conseguia andar nos calcanhares e pontas dos pés, com difi-culdade, e precisava de apoio. A avaliação da motricidade mostrou que a força muscular estava moderadamente fraca (3/5) nas quatro extremidades. Não foram observados movimen-tos anormais. A investigação dos sistemas sensoriais mostrou estar a sensibilidade diminuída à picada de alfinete em todo o lado esquerdo do corpo. A percepção da vibração e da posição das articulações esta intacta bilateralmente. Todos os reflexos de estiramento muscular esta-vam aumentados. O sinal de Babinski estava presente bilateralmente. Havia alguma dismetria nos testes dedo-nariz e calcanhar-joelho, bilateralmente, e disdiadococinesia bilateral. O lado direito estava pior que o esquerdo. A ressonância magnética do crânio (RMC) da cabeça reve-lou que as artérias basilar e vertebral direita eram tortuosas e dilatadas. Foi notado um aneu-risma fusiforme, da porção média à porção superior da artéria basilar, com trombose intralu-minal. Não foi demonstrado sangue extravascular. Evolução: Bem cedo, no outro dia pela manhã, o Sr. A. M. teve vertigem, náusea e vômitos, de instalação súbita. Não podia mais ouvir no ouvido direito. O exame neurológico revelou nistagmo espontâneo do lado esquerdo. No dia seguinte, a audiometria confirmou a perda total da audição à direita. Foi solicitada outra RMC (Figura A). Além das anormalida-des vistas na primeira RMC, a última mostrava duas áreas de sinal diminuído na ponte, ao nível do pedúnculo cerebelar médio. Uma área de sinal diminuído ficava na linha média, a outra estava à direita. Dois dias depois, foi feita uma angiografia cerebral (Figura B). O exame demonstrou alargamento acentuado das artérias basilar e vertebral direita. Também havia evidências de aneurisma fusiforme da artéria basilar com trombose intraluminal. O aneurisma foi considerado inoperável. Foram prescritos ao paciente medicamentos anticoagulantes e terapia ocupacional. Foi aconselhado a deixar de fumar. Ao acompanhamento, dois meses depois da alta (três meses após os sintomas iniciais), o paciente havia melhorado muito. Não fumava mais e havia perdido 15 quilos. Sua pressão arterial era de 130/90 e apresentava 81 bpm cardíacos em repouso. Ainda tinha a perda total da audição no ouvido direito, mas os déficits cerebelares estavam muito melhores. Tinha perda residual moderada da sensibilidade à picada de alfinete do lado esquerdo do corpo. Todos os reflexos de estiramento muscular estavam aumentados, e ele apresentava sinal de Babinski bilateralmente. O diagnóstico defini-tivo foi de aneurisma da artéria basilar e de AVC isquêmico de tronco encefálico.
|


Sistema Nervoso



